眼下整形
JAYJUN PLASTIC SURGERY
JAYJUN 去眼袋
切除过多的脂肪或者使用激光燃烧过多的
脂肪使得眼下可以变得平平的打造一个顺滑的眼圈
手术时间30分钟~1小时
麻醉方法睡眠/局部麻醉
是否住院当天出院
拆线时间无需(因人而异)
恢复时间5~7天
根据个人状态可能会发生
出血、淤青等副作用,
恢复时间可能会有所不同

JAYJUN 去眼袋
手术对象
01
因为黑眼圈让人看上去无精打采时
02
眼下脂肪凸出严重并且下垂使得眼下有阴影时
03
即使化妆也无法遮挡眼下发黑的部分时
04
眼下脂肪凸出严重并且凹凸不平让人开上去显老时

JAYJUN 去眼袋
手术方法
01

诊断眼下凸出脂肪的范围
和样子并且做设计
02

通过激光最小切开
眼皮内部的结膜
03

通过切口
取出过多的脂肪
04

打造有平坦明亮眼圈
JAYJUN 去眼袋
眼袋手术的特征
point 01
疤痕最小化
通过眼皮内结膜处手术所以几乎没有疤痕
point 02
成熟的专门医执刀
为了防止眼下凹陷去除适当的脂肪
point 03
灿烂的印象
眼下变得平平并且改善了黑眼圈使人看上去印象变得开朗灿烂

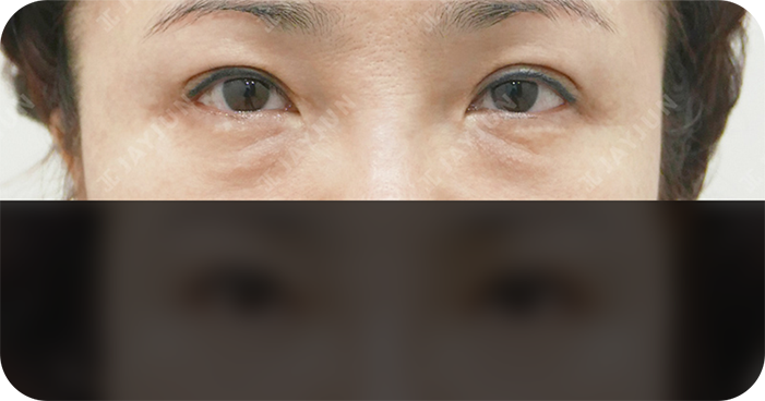
JAYJUN 去眼袋
前后照片
点击图片即可查看手术前后的照片。
JAYJUN 眼部整形特别的理由
美丽的基准,JAYJUN
个人1:1订制眼部整形
考虑个人五官和脸型比例 分析本身眼形,皮肤厚度,长度等 找出最适合的手术方法

系统安全的协诊体系
为了专业的诊疗诊治医生,手术中心,导医,治疗中心所有部门都系统的构成可以提供安全方便的咨询及术后管理

浮肿/疤痕最小化,恢复快
成熟专业的医生执刀使得组织损伤小浮肿小恢复快可以快速恢复日常生活并且运营专业的术后管理项目

满足度高的眼部整形
本着对手术结果全权负责的思想来进行手术因此修复的几率低手术满足度高

不断研修的专门医疗队
JAYJUN医疗队通过专业细致的手术经验考虑整体比例后设计眼部因此获得令人满意的手术结果

为了安全的手术
1:1专职麻醉体系
麻醉痛症专门医常驻并进行专职麻醉并且保有各种急救设备

